小时候,
爸爸是我们眼中的超级英雄,总见他一口轻松咬开啤酒瓶盖;
长大了,
不知从何时起,爸爸的牙齿已不再坚固,他经常“吃软不吃硬”!
我们一天天长大,爸爸也在一天天变老,曾经“明眸健齿”的他,也渐渐“眼花齿松”。2019年6月16日,父亲节(Father's Day),是一个感恩父亲的节日。‘您陪我长大,我陪您种牙’即日起,正夫口腔为爸爸们送上一份父亲节好礼,激光种植大咖齐聚,为爸爸种上一口好牙!

齿间孝道,让父爱更‘齿’久·孝心礼
1、进口种植体 特价3600元(专为亚洲人定制,经济实惠型);>>>立即预约
2、美国皓圣种植系统 :享47%费用补贴,再送基台(愈合时间短,舒适美观型);>>>立即预约
3、安卓健种植种植系统:享48%费用补贴,再送基台;>>>立即预约
4、0元口腔健康检查(免挂号费,免费小牙片);>>>立即预约
5、父母亲同行380元即可体验价值3140元家庭套餐卡;>>>立即预约
6、牙齿美白:立减2000元(没有烟渍牙,爸爸更帅气);>>>立即预约
7、烤瓷牙: 立减700元(牙齿完好无缺,爸爸吃喝更潇洒);>>>立即预约
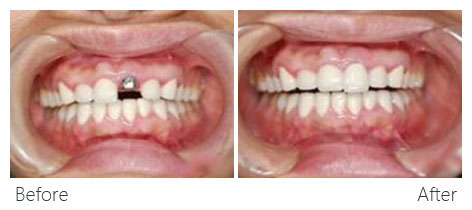
缺牙种牙,能帮我们带来哪些改变?
恢复咀嚼丨面容更年轻丨身体更健康

激光种植大师齐聚正夫,精专疑难种植牙
6月,感恩月,大湾区激光种植大师汇聚正夫,开启种植医生专诊周,暨《粤港澳大湾区激光种植大师专诊周》,携手为缺牙市民们带来科学高效的种植方案。

全城24院,正夫口腔为市民口腔健康实力护航
正夫口腔,深圳口腔品牌连锁,全城24家门店,覆盖了深圳罗湖、福田、南山、宝安、龙华新区、龙岗区6个区,成立了200多间独立vip诊疗室,汇聚了400余名专科医护人员及国内外口腔医师,贯彻落实“以技术为核心,以公益树品牌”的建院理念,为老百姓口腔健康保驾护航!
正夫口腔活动预告:
6月毕业季,正夫口腔在暑假来临之际,推出以“百万基金,助梦未来”为主题的暑期矫正蜕变会,让你的青春从“齿”开始,预见更美好的自己。活动时间:2019年6月29日,届时有专家矫正知识讲座、幸运砸金蛋赢豪礼、精致礼品免费送、储值返现,储多送多等福利,名额有限,点此提前报名,获取活动现场名额。



.jpg)